Hidden Risks of Gold Thread Acupuncture: Expert Warnings Highlight Medical Transparency and Patient Safety Concerns
A 65-year-old woman in South Korea, seeking relief from osteoarthritis, found herself in a medical dilemma that has sparked concern among healthcare professionals.
The patient, who had been undergoing gold thread acupuncture—a practice involving the insertion of sterile gold threads into the skin—was shocked to discover during an X-ray that hundreds of these threads had been left in her knees.
This revelation not only complicated her diagnosis but also raised serious questions about the safety and oversight of alternative therapies.
Osteoarthritis, a degenerative condition affecting millions worldwide, had long plagued the woman.
She had previously relied on conventional treatments, but as her pain worsened, she turned to gold thread acupuncture, a method popular in parts of Asia.
The procedure, which involves threading fine gold strands into acupoints, is marketed as a way to stimulate healing and alleviate chronic pain.
However, the presence of these threads in her knee, revealed by the X-ray, complicated her doctors’ ability to assess the true state of her joint damage.
Gold thread acupuncture is not a new practice.
For decades, it has been used in China and Korea to treat ailments ranging from joint pain to headaches.
Practitioners claim the threads act as a continuous stimulant to the nervous system, promoting the release of endorphins and other pain-relieving chemicals.
Yet, medical experts have long cautioned against the procedure, citing a lack of scientific evidence to support its efficacy and highlighting the risks of foreign objects being left in the body.
The threads, once inserted, can migrate to other parts of the body, potentially causing infections or tissue damage.
The woman’s case, detailed in the New England Journal of Medicine, has drawn attention from the medical community.

Doctors treating her noted that the gold threads obscured critical anatomical details on scans, making it harder to diagnose her condition accurately.
While the report did not specify whether the threads were removed, medical professionals have emphasized the importance of addressing such complications promptly.
Removing the threads requires a minor surgical procedure, and improper attempts at home removal can lead to infection, scarring, or the presence of residual fragments.
The incident has reignited debates about the regulation of alternative therapies.
With increasing numbers of patients turning to unproven treatments, healthcare experts are urging stricter oversight to protect vulnerable individuals.
Acupuncture, in its traditional form, is widely accepted and supported by research for pain management and stress relief.
However, variations like gold thread acupuncture, which introduce foreign materials into the body, remain controversial.
Public health advisories warn that such practices can pose significant risks, particularly when performed without proper medical supervision.
As the woman’s case underscores, the intersection of traditional medicine and modern healthcare requires careful navigation.
While alternative therapies may offer comfort to some, they must be evaluated through the lens of scientific rigor and patient safety.

The story of the woman with the gold threads serves as a cautionary tale, highlighting the need for transparency, regulation, and informed decision-making in the pursuit of pain relief.
The 65-year-old woman’s case is not unique.
Doctors have reported in several case studies similar instances of people treating their arthritis or headache with gold thread acupuncture, only to face gruesome side effects.
These accounts, buried in medical journals and obscure case reports, reveal a pattern of long-term complications that challenge the safety of this alternative therapy.
The stories, though scattered, paint a troubling picture of a practice that promises relief but often delivers persistent, even life-threatening, consequences.
In 2021, doctors in Korea treated a woman who presented to the hospital with a severely swollen right lower leg, riddled with multiple cysts on the skin.
She told doctors she had undergone gold thread acupuncture on her back a decade earlier, but not on her legs.
Over the preceding year, she had experienced periodic skin infections on her right leg, even plucking out gold threads that poked through her skin at various points.
The medical team, baffled by the recurring infections, speculated that the implanted particles on her back had migrated through the vascular system to her legs.
Since these particles are not self-absorbable, they remained in the tissue for years, acting as a persistent source of recurrent infection.
The same year, Korean doctors published a report in the *Indian Journal of Dermatology, Venereology and Leprology* about a 50-year-old woman who developed a severe skin reaction after undergoing gold thread acupuncture for cosmetic purposes.
Six months after the procedure, she began noticing firm, red, painless bumps on her forehead and cheeks.

Imaging confirmed the presence of numerous gold threads embedded in her facial tissue, while a biopsy revealed a chronic inflammatory reaction called a foreign body granuloma.
This condition, a hallmark of the immune system’s response to foreign materials, underscores the body’s struggle to coexist with non-biodegradable substances.
In another 2021 case, doctors described a woman whose chronically infected leg was traced back to gold threads that had migrated from her back.
They explained that the non-absorbable threads, implanted a decade earlier during acupuncture, had permanently settled in her leg tissue, acting as a persistent source of recurrent infection.
The woman’s condition, marked by recurring abscesses and systemic inflammation, required multiple surgical interventions to remove the threads and manage the infections, but full recovery remained elusive.
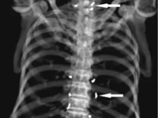
By 2022, the dangers of gold thread acupuncture had taken an even more alarming turn.
A 73-year-old Korean man was hospitalized for a stroke.
During his evaluation, he described a 30-year history of widespread joint pain, which he had self-treated with gold thread acupuncture.
X-rays revealed thousands of the embedded threads throughout his body, a testament to the long-term accumulation of these foreign objects.
His symptoms finally improved only after he received proper medication for his newly diagnosed rheumatoid arthritis—a condition he had unknowingly masked for decades by relying on an unproven therapy.

Gold’s molecular structure, while resistant to corrosion, tarnishing, and rusting, makes it unlikely to break down when exposed to oxygen, acids, or other substances.
However, over time, the metal can still degrade within the body, releasing compounds that the immune system recognizes as foreign.
This triggers a cascade of inflammatory processes, leading to granuloma formation and chronic tissue damage.
Once a granuloma forms, treatment becomes challenging and often incomplete, as completely removing numerous, deeply embedded threads is difficult, if not impossible.
In the 50-year-old woman’s case, doctors managed to remove some threads and administer steroid injections, which provided slight improvement.
However, many of the threads remained embedded, and the red bumps on her face persisted for six additional months.
The case highlights the limitations of medical interventions once the foreign material has become deeply entrenched in the body’s tissues.
Holistic pain therapies like gold thread acupuncture, when used as a substitute for doctor check-ups, can obscure real medical problems.
In the 73-year-old man’s case, years of unexplained joint pain were attributed to a self-diagnosed condition, delaying the detection of rheumatoid arthritis—a chronic, autoimmune disease that attacks healthy joint tissues.
His eventual diagnosis came only after the discovery of the thousands of gold threads, a revelation that forced him to confront the true cause of his suffering.
These cases, though rare, serve as stark warnings about the risks of unregulated alternative treatments.
They underscore the importance of credible expert advisories and the dangers of relying on unproven methods to address complex medical conditions.
As the global health community continues to explore the boundaries of traditional and modern medicine, these stories remind us that some remedies, while rooted in centuries-old practices, can carry consequences that far outlast their intended benefits.
Photos