When Shelley Whittaker first noticed a strange blurriness in her left eye, she assumed it was the result of her favorite mascara smudging across her lashes. "I laughed it off for a couple of months," the 47-year-old mother from Bolton, Greater Manchester, recalled. "I told myself it was just a temporary issue." But what began as a minor irritation soon spiraled into a life-altering diagnosis. By May 2025, after months of worsening vision and a bulging eye that left her looking uncharacteristically unwell, she sought help from an optician, who referred her to an eye clinic. What followed would change her life forever.
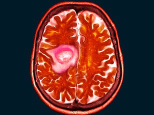
At the clinic, scans revealed a golf-ball-sized tumor pressing against her optic nerve—a rare condition known as a spheno-orbital meningioma. The news stunned her. "I was told immediately to stop using the contraceptive injection I'd relied on for 15 years," she said. The drug in question, medroxyprogesterone acetate (commonly sold as Depo-Provera), had been prescribed by her doctor for years to manage her fertility. Now, her neurologist linked its long-term use to the tumor's growth. "They said it was a risk I never knew about," she added, her voice trembling. "I used to encourage others to take it. I'd never imagine this could happen."
The surgery to remove 90% of the tumor took 10 hours, with surgeons painstakingly avoiding damage to her optic nerve. Shelley's left eye, once swollen and protruding, was now a stark reminder of the tumor's invasive nature. "It felt like something was pressing against my brain," she said, describing the pressure that had caused her vision to deteriorate. "If I'd delayed treatment by even a month, I could have lost my sight entirely." Despite the success of the operation, 10% of the tumor remains—a lingering threat that will require ongoing monitoring.
Public health advisories on Depo-Provera's risks remain cautious but clear. According to the NHS, long-term use of medroxyprogesterone (over three years) may slightly increase the risk of meningiomas, though such cases are rare. Shelley's case, however, has sparked renewed debate about the drug's safety profile. "I was never warned about this possibility," she said. "They told me about weight gain and calcium intake, but not that I could end up with a brain tumor."

Pfizer, the manufacturer of Depo-Provera, emphasized its commitment to patient safety in a statement: "We conduct rigorous monitoring of all our medicines, including assessments of adverse events, in collaboration with global health authorities." The company also highlighted that the drug has been approved in over 60 countries for three decades and has a "well-established efficacy and safety profile."
Meanwhile, the Medicines and Healthcare products Regulatory Agency (MHRA) reiterated its focus on public safety. "We continuously monitor all licensed medicines for risks," an agency spokesperson said. "Patients should consult their healthcare providers if they have concerns."
For Shelley, the journey has been one of reckoning. "I'll never take that injection again," she said firmly. "I wish I'd known the risks. I want other women to understand that while Depo-Provera is effective, it's not without potential dangers." As she adjusts to life with a partially removed tumor, her story serves as both a cautionary tale and a call for greater transparency about contraceptive options.
Her neurologist's warning—delivered in the wake of her diagnosis—has stayed with her: "You need to stop it immediately." It's a message Shelley now shares with anyone who'll listen, urging others to weigh the risks and benefits of long-term hormonal contraception. "This could have been avoided," she said, her voice resolute. "I'm not angry at my doctor or the drug. I'm just grateful I found out in time.
A contraceptive injection containing medroxyprogesterone acetate (MPA) has been at the center of recent health discussions. The drug, used to prevent unintended pregnancies, was first linked to a potential risk of meningioma—a type of brain tumor—after studies in 2024 found a connection between high-dose MPA and the condition. This revelation prompted immediate action from regulatory bodies to reassess the drug's safety profile.

In early 2025, updated guidelines were introduced, adding further precautions to manage the identified risk. These changes included clearer warnings for healthcare providers and patients, emphasizing the importance of monitoring and early detection. The updates reflect a growing emphasis on balancing contraceptive benefits with long-term health considerations, especially as more data emerges about hormonal therapies.
The Patient Information Leaflet was revised to inform users about meningioma symptoms, such as persistent headaches, vision changes, or seizures. Patients are now advised to seek medical attention if they experience these signs. This move underscores efforts to ensure transparency and empower individuals to take control of their health decisions.
Despite the new warnings, public health officials stress that for most users, the contraceptive remains a safe and effective option. The benefits of preventing unintended pregnancies are considered significant, but authorities urge those with concerns to consult their GP, pharmacist, or contraceptive provider. This approach highlights the complexity of managing public health risks while maintaining access to essential care.
Regulatory updates often spark debate about how much risk is acceptable in medical treatments. The MPA case illustrates the challenges of adapting guidelines as new evidence emerges. It also raises questions about how well patients are informed about potential long-term effects, even as they rely on these medications for reproductive health.
Healthcare providers now face added responsibility in counseling patients. They must weigh the drug's advantages against its risks, a task complicated by the fact that meningioma symptoms may not appear for years. This has led to calls for more research into the long-term safety of hormonal contraceptives and better tools for early detection.
The controversy has also drawn attention to how pharmaceutical companies and regulators handle risk communication. Critics argue that warnings about meningioma may be overshadowed by the drug's immediate benefits, while supporters say the updates demonstrate a commitment to patient safety.

For now, the focus remains on ensuring that users are fully informed. Health authorities continue to emphasize that while risks exist, they are rare and manageable for most people. The challenge lies in conveying this nuance without undermining trust in the contraceptive system or causing unnecessary alarm.
Public reaction has been mixed, with some patients expressing concern and others praising the transparency of the updates. Advocacy groups have called for more comprehensive studies, while others urge caution against overreacting to rare risks. This divide reflects broader societal tensions between innovation in medicine and the need for rigorous safety oversight.
As the conversation continues, one thing is clear: the story of this contraceptive highlights the delicate balance between preventing unintended pregnancies and protecting long-term health. It also underscores the evolving nature of medical guidelines, shaped by ongoing research and the need to adapt to new evidence.