Mario Ciccarello, a 34-year-old fitness enthusiast and warehouse worker from Florida, believed his chest pain was a result of eating spicy food. He was wrong. The sharp, nagging discomfort that started in his chest and moved to his shoulder and left arm was not a passing inconvenience, but a near-fatal heart attack.
Ciccarello, who is also an ultra-marathon runner, had just finished a workout at the park in February when he felt the first wave of pain. As someone who takes his fitness seriously, he initially dismissed the discomfort as a consequence of the spicy Mexican food he had consumed the night before. However, as the pain intensified, it became clear that this was not the result of a meal gone wrong.

When he arrived home around midday, Ciccarello told his partner, Stephanie James, that he felt like his heart was 'shutting down' and needed a nap. While filming a video for social media, James quipped, 'Are you dying,' to which Ciccarello replied, 'I might be.' His words were not a joke, but a desperate reflection of the fear and dread he was feeling. He described an overwhelming sense that something was terribly wrong inside his body.
As he lay down, Ciccarello's resting heart rate surged to 112 beats per minute, nearly twice his normal rate. This was a stark warning sign of the strain his heart was under. The pain returned with a vengeance, becoming ten times worse than it had been in the park. His entire left side felt like it was detaching from his body. He looked at his sleeping son and wondered if this was the last time he would see him.
At that moment, he knew he could no longer ignore the signs. He rushed into the living room and told James, 'It isn't a joke now. I think I'm having symptoms of a heart attack.' Together, they made their way to the hospital, where the severity of his condition was quickly diagnosed.

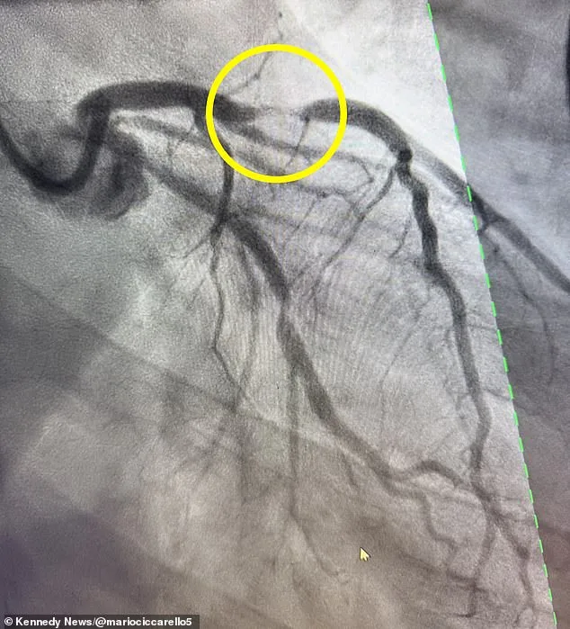
Doctors discovered that Ciccarello had suffered a 95 percent blockage in his left anterior descending (LAD) artery, which supplies more than half of the heart's blood. This type of blockage is associated with a 'widow-maker' heart attack, a term that refers to the high mortality rate linked to this condition. Doctors estimate that only 12 percent of patients survive this type of event, as the immediate damage to the heart's pumping chamber is often catastrophic.
Widow-maker heart attacks are more common in men, especially in their 40s, though women over 50 can also be at an increased risk. Pictured is a scan showing the blocked LAD artery in Ciccarello's heart, a clear visual representation of the life-threatening condition he faced.

About 800,000 Americans suffer a heart attack every year. Much like other forms of heart attack, the risk of developing a widow-maker event increases with lifestyle habits such as obesity, lack of exercise, and a diet high in saturated fats. However, Ciccarello is part of a growing number of young, fit Americans who are experiencing heart attacks for no clear reason.
In 2019, 0.3 percent of adults in this age group had experienced a heart attack. By 2023, that figure had risen to 0.5 percent, a jump of over 66 percent in just four years. This means that one in five heart attack patients is now younger than 40. The causes are unclear, but recent research has pointed to stress, delayed screenings, and potential environmental contaminants such as pollution.
In Ciccarello's case, doctors suspect a genetic condition may have made him more susceptible to a heart attack, but they are still running tests to determine exactly which one. He is now on blood thinners while undergoing genetic testing, and is using social media to educate other young, fit people about the signs of a heart attack.

Ciccarello, now aware of the importance of acting quickly, is helping others recognize the symptoms, which include chest pain, shortness of breath, dizziness, an upset stomach, fatigue, and lightheadedness. He reflects on his experience with regret, stating, 'I could have died and we should have gone to the hospital sooner, but we did not think for a second I was having a heart attack.'
Looking back, he wishes he had acted earlier, as doctors emphasize that every minute of delay causes more damage to the heart. His story is a stark reminder that even the fittest individuals are not immune to heart attacks and that early recognition and action are crucial for survival.