Bella Bayliss's Medical Emergency: Unaddressed Symptoms at Gloucestershire Royal Hospital
Bella Bayliss, now 25, first walked into the A&E department of Gloucestershire Royal Hospital in January 2019, her body wracked with symptoms that should have raised alarm bells.
She described feeling 'extremely breathless doing normal activities,' her skin 'really pale,' and her abdomen gripped by 'constant stomach pains.' Her legs and hands had grown numb, and her appetite had vanished entirely. 'I used to work at a supermarket and I was waking up quite early in the morning and I blamed it on that,' she later recalled, her voice tinged with the frustration of someone who had been dismissed as a hypochondriac.
The hospital, however, had a different take. 'They sent me home and blamed it on women's problems,' she said. 'I knew it wasn't that.' Unconvinced by the diagnosis, Bella returned to the same hospital in November 2019, her symptoms having worsened.

This time, she demanded tests.
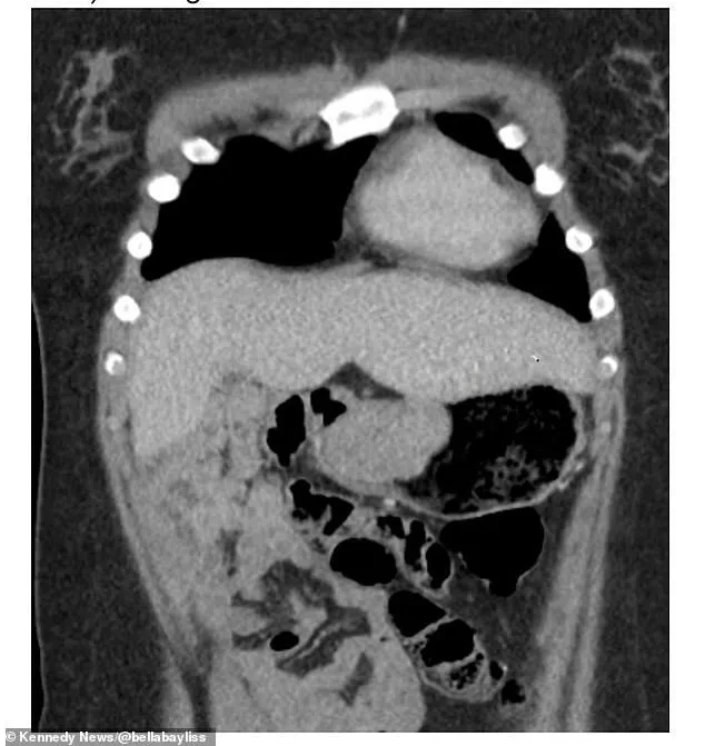
The medical team performed an endoscopy—a procedure involving a thin, flexible tube with a camera inserted through the throat to examine the upper digestive system.
The results were damning: a 6cm gastrointestinal tumor (GIST) had been growing in her stomach. 'If they hadn't left me for so long, I wouldn't have had to have that much of my stomach removed because the tumour got bigger within that time,' she said, her words echoing the regret of a young woman who had been ignored for months.
GIST, or gastrointestinal stromal tumors, is an exceptionally rare form of cancer, affecting only 10-15 people per million annually.

It accounts for just 1 to 2 percent of all gastrointestinal cancers.
Unlike many other cancers, GISTs are caused by sarcomas—malignant tumors that originate in connective tissues such as bone or muscle.

In this case, the sarcoma had taken root in the digestive system.
The symptoms Bella experienced—abdominal pain, feelings of fullness, nausea, and chest discomfort—were all classic signs of the disease, yet they had been overlooked in her initial visit. 'It's a very complex type of cancer,' she said. 'What I have is so rare it doesn't react to standard chemotherapy.' The surgery to remove the tumor was both life-saving and life-altering.
Surgeons had to remove 70 percent of her stomach, a decision Bella believes might have been avoided if her initial concerns had been taken seriously. 'I can't eat a lot anymore,' she said, describing her new routine of eating 'small meals throughout the day.' The physical changes were profound: a massive scar from the surgery now adorned her body, a mark that initially made her feel self-conscious. 'I would try and hide it for a while,' she admitted. 'Now it's something I'm actually very proud of.' Yet the emotional toll was just as heavy. 'I get scared to have food with my friends or have a drink sometimes,' she said, her voice betraying the lingering anxiety of a young woman who had faced death and survived.
Five years after her initial diagnosis, Bella's journey took a devastating turn.
In autumn 2025, a routine scan revealed that her cancer had returned, with two new tumors now growing on her liver. 'I had a scan at the end of September thinking "it's just another scan,"' she recalled. 'They said they found two shadows on my liver and I just instantly knew it was that.' The news was a blow. 'I was very shocked,' she said. 'Me and my mum and dad were devastated.

This time it felt different.
I think you worry when it comes back.' The recurrence has left her feeling 'extremely overwhelmed and tired,' and the medical team is now searching for medication that might work. 'The only way to cure my cancer is surgery,' she said, her words a stark reminder of the battle that continues.
In response to Bella's story, a spokesperson for Gloucestershire Hospital NHS Foundation Trust issued a statement expressing 'deep sorrow' over the recurrence of her cancer and 'understanding how distressing this must be for her and her family.' The hospital also acknowledged the missteps in her initial care, stating that Bella's experience had been used to 'reinforce the importance of appropriate investigation in similar situations.' For Bella, the journey has been one of resilience, but also of profound loss. 'I know what to expect now,' she said. 'But I'm still scared.'
Photos