Mandy Turver, a self-employed mother of two from Rotherham, spent years grappling with a personal insecurity that seemed to intensify with age. By her mid-50s, her teeth—once unremarkable but functional—had begun to shift in ways she couldn't ignore. They yellowed, their alignment grew uneven, and the confidence she once carried in her smile began to erode. "I'd never had issues," she recalls. "But my teeth changed, and it really began to affect my confidence. I found myself holding a hand in front of my mouth when I spoke. I felt like I had the smile of a much older woman."
Her struggle wasn't unique. Statistics reveal that over half of Britons feel insecure about their smiles, with two-thirds avoiding showing their teeth in photos. Aging exacerbates these concerns: enamel, the tooth's protective outer layer, wears down from years of chewing, grinding, and exposure to acidic foods. This erosion exposes the yellower dentin beneath, leading to discoloration and sensitivity. Meanwhile, receding gums expose vulnerable root surfaces, increasing the risk of decay. Yet, the crowding of teeth in older adults often stems from a different cause. Dr. Affan Saghir, a dental surgeon at Space Dental, explains that as people age, the lower jaw's teeth tend to shift forward and downward. This misalignment creates crowding, disrupts bite symmetry, and can lead to uneven wear on the upper teeth.
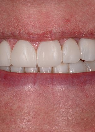
For Mandy, this was the reality she faced when she arrived at Dr. Saghir's London clinic. Her lower jaw teeth were crowded and uneven, a problem addressed in the first phase of the ABC technique—a £4,000 procedure she credits with transforming her life. The acronym stands for align, brighten, and contour, each step designed to minimize invasiveness while maximizing natural results. The align phase uses removable clear aligners, custom-fitted braces worn 22 hours daily. These are swapped weekly, gradually shifting teeth into place. Mandy described the process as "hardly noticeable" despite initial discomfort, noting she wore them for eight months before proceeding to the next stage.

The brighten phase involves at-home bleaching solutions, targeting the yellowing caused by enamel erosion. Finally, the contour step uses composite resin—a material also used for repairing chips—to reshape uneven teeth. Matched to the patient's natural tooth color, the resin is molded, hardened with a blue light, and polished for a seamless finish. "The reaction I get from other people is amazing," Mandy says. "They're always so shocked to hear I've had my teeth done. I didn't think they could look so natural."

The procedure's appeal lies in its minimally invasive approach, avoiding drilling or injections. Advocates argue it offers a more age-appropriate aesthetic than traditional cosmetic dentistry, which often prioritizes youthful perfection over subtlety. For Mandy, the results were transformative. "I'm blown away by the difference it has made—to my confidence and appearance," she says. "I should have done it years before." More than aesthetics, the treatment helped her overcome a lifelong fear of dentists, rooted in a botched root canal in her 30s. Today, she grins freely, her smile a testament to a procedure that, for many, promises a renewed sense of self.
The ABC technique, a groundbreaking approach in cosmetic dentistry, has emerged as a beacon of hope for patients seeking a transformative smile without the need for invasive procedures. Developed by Dr. Affan, this method combines three established dental procedures—aligning teeth, bonding materials, and color correction—into a seamless process that delivers results often mistaken for natural aging. Unlike traditional treatments that require years of orthodontic work or frequent touch-ups, the ABC technique offers a permanent solution with minimal maintenance. Patients are advised to return for routine biannual check-ups, ensuring their new smile remains as vibrant and functional as the day it was created.

Each component of the ABC technique is rooted in widely accepted dental practices. The first step, aligning teeth, uses advanced orthodontic tools to straighten crooked or misaligned teeth without the need for braces. The second, bonding, involves applying a durable, tooth-colored composite material to repair chips, gaps, or discoloration. The final step, color correction, employs cutting-edge whitening technologies to achieve a shade that matches the patient's desired aesthetic. Together, these steps form a holistic approach that addresses both functional and cosmetic concerns. Dr. Affan's innovation lies not in the procedures themselves, but in how he has packaged them into a cohesive, patient-friendly framework.
"I have many patients who come in wanting a smile that's appropriate for how they envisage themselves," Dr. Affan explains. His office, a hub of discreet consultations and meticulous planning, is where the ABC technique takes shape. Patients undergo a thorough evaluation, including 3D imaging and color analysis, to tailor the treatment to their unique needs. The process is designed to be efficient, often completed in three visits, with each step meticulously executed by a team of specialists. The result, as one patient described, is a smile that feels "natural yet flawless," a paradox that has become the hallmark of the technique.
For patients like Mandy, the transformation is nothing short of life-altering. Before the ABC procedure, she had long struggled with self-confidence, her smile marred by years of staining and misalignment. "I started to cry when I saw my new grin in the mirror," she recalls. "I felt like a whole new woman." Her experience is not uncommon. Patients report not only improved aesthetics but also a renewed sense of self-esteem, with many noting that their social and professional lives have flourished post-treatment. The technique's emphasis on longevity—using materials that resist staining and wear—ensures that the results are not temporary fixes but enduring changes.

Dr. Affan's approach has sparked interest within the dental community, though the ABC technique remains a closely guarded secret among his peers. He believes that by simplifying the language around cosmetic dentistry, patients can make more informed decisions about their care. "It's about empowering them," he says. "When they understand what each step entails, they're more likely to trust the process." As demand for the ABC technique grows, so does its reputation as a discreet, effective solution for those seeking a smile that aligns with their vision of themselves.