"Crystal Vann's hands tremble as she recounts the moment her son, Cameron 'Dodge' Vann, collapsed on the school bus. His face was pale. His back ached. He was 17. Two years earlier, he had picked up a habit to 'look cool.' Now, his lungs were on the verge of failure.
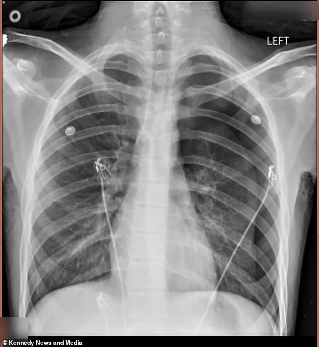
Doctors found 50 percent of his left lung had collapsed. A pneumothorax. Air had seeped into his chest cavity, creating pressure that forced a 18-inch tube into his body to drain the excess. The first collapse was a warning. The second, in January 2026, nearly killed him. 'They said he could have died in the lobby,' Vann said. 'I thought, *Why him?*'"

Vaping, once marketed as a safer alternative to smoking, has delivered a lethal blow to Dodge. His story is not an isolated incident. In 2024, 17 million U.S. adults vaped regularly. Among teens, 1.6 million still inhale the aerosol, despite a decline from 2019. Yet, the risks are not just statistical. They are visceral. They are Dodge's screaming pain, his fear of another collapse, his nightmares of the tube returning.
What is in the vapor? Nicotine. Flavorings. Toxins. Formaldehyde. Acetaldehyde. Volatile organic compounds. These substances, inhaled deeply, damage lung tissue. Over time, they mutate DNA, trigger inflammation, and increase cancer risk. A New Jersey man, for example, died of aggressive lung cancer—directly linked to e-cigarettes. Could this be the first of many?

Dodge's lungs are now scarred. His nerves are dead. Even a shirt feels like a blade. 'Putting on a shirt feels awful,' he said. 'Talking vibrates it. It hurts.' He quit 'cold turkey,' but the pain lingers. His mother, Crystal, watches him struggle. 'He's so little,' she said. 'He's been so brave, but he's also scared.'
Is this the price of 'looking cool'? The swap that saved one life but gave another 'crispy' lungs? Vann is now calling for a ban. 'I say ban on all vapes,' she said. 'I don't want another kid going through it.'

The CDC data shows vaping is most prevalent among 18- to 24-year-olds. Yet, the consequences are not limited to adults. Dodge's case is a warning to teens: the aerosol is not harmless. It is not a gateway to health. It is a gateway to collapse.
Vann's plea is urgent. Her son's lungs are a testament to the danger. 'Don't do it just to be cool,' she said. 'It's not worth it.'

A GoFundMe page has been set up to help with Dodge's treatment. But money cannot undo the damage. It cannot reverse the scarring. It cannot stop the nightmares.
What can? Regulation. Education. A ban. The question is: will the public listen before another child's lungs collapse?"